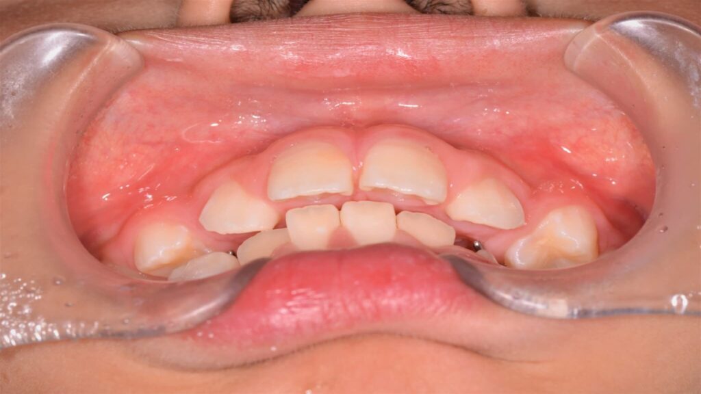
【開咬】小児矯正(クワドヘリックス、バイヘリックス)の症例

年代小学生
性別男の子
治療期間約1y
お悩み歯並びが気になる
矯正法子供の成長期と、コイルの弾力を利用することで、歯列を押し広げます。
治療のリスクについて取り外しはできません。
月に一度、調整のための来院が必要です。
調整後は、痛みがでることがあります。
費用小児矯正(クワドヘリックス、バイヘリックス)……………330,000円(税込)
Case

症例紹介

PAGE TOP