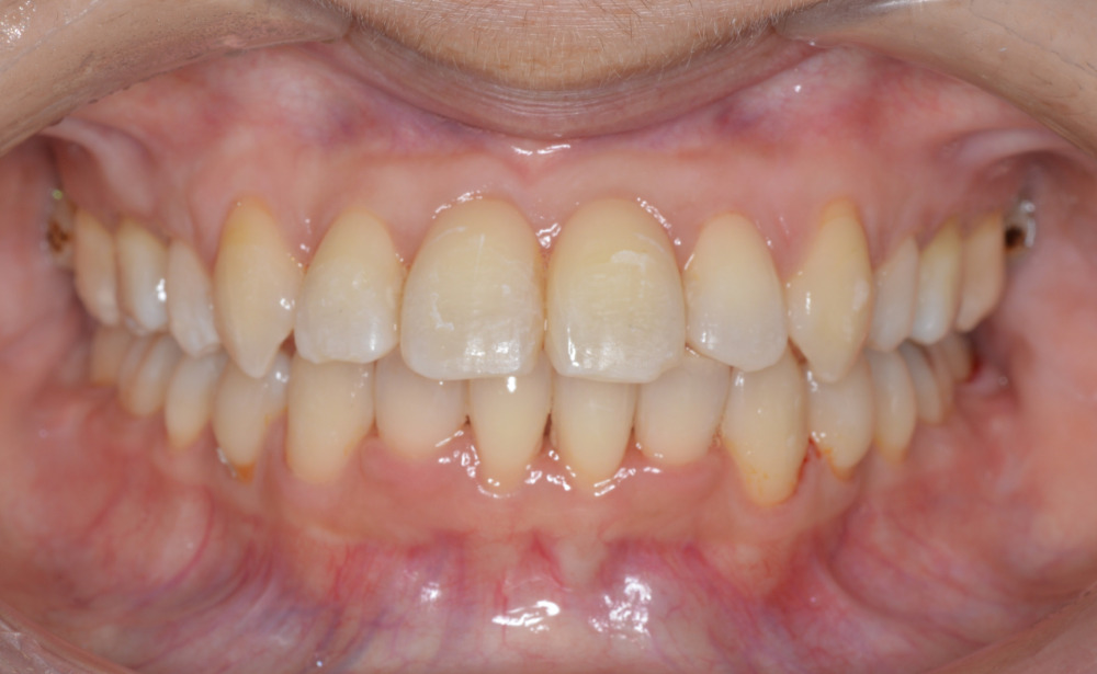
【叢生】上の歯2本を抜歯しての矯正


| 年代 | 30代 |
|---|---|
| 性別 | 女性 |
| 治療期間 | 2y9m |
| お悩み | 上下のガタガタと噛み合わせが気になる |
| 矯正法 | 上の歯2本を抜歯しての矯正 |
| 治療のリスクについて | 歯を動かす事による痛みがあります。また、装置に慣れるまでは、口内炎ができやすいです。 歯肉が退縮するリスクがあります。装置が全ての歯に付くので、ハミガキが難しくなります。 この患者様のケースは、ガタガタが強かったことや、抜歯したスペースを埋めるのに時間がかりました。ホームケアも大変だったと思いますが、とてもきれいに並びました。 |
| 費用 | 精密検査………………………39,600円メタルワイヤー矯正………880,000円 月に1度の調整料………………5,720円 後戻り防止のリテーナー……33,000円 |